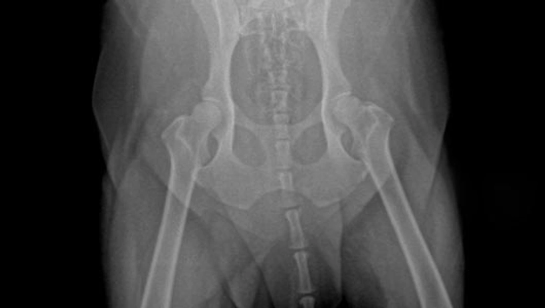
Heupdysplasie bij de hond is een multifactorieel erfelijke aandoening die onder meer bij de Duitse herder voorkomt, waarbij spontaan letsels rond de heupkop (caput femoris) en het heupgewricht (acetabulum) ontstaan. Bij mensen komt ook heupdysplasie voor.
Het ontstaan:
Het ontstaan van heupdysplasie wordt bepaald door omgevingsfactoren en het genetisch materiaal van de hond. De genetische component wordt door enkele hoofdgenen bepaald. Selectie op deze genen is mogelijk en wordt door vele fokkers toegepast en van enkel stamboeken geëist. Omgevingsfactoren kunnen de ernst en het tijdstip van optreden van heupdysplasie doen veranderen. Voedingvan de honden is een van de belangrijkste factoren. Een te energierijke voeding bevordert het ontstaan van heupdysplasie door langs de ene kant een te snelle groei en langs de andere kant overgewicht. Voederadditiven zoals calcium en vitamine D-houdende preparaten worden het best ook gemeden. Ook onevenwichtige belasting van de hond (bijvoorbeeld door trappen stappen) zal de heupdysplasie verergeren.
Sypthomen van heupdysplasie:
Honden met heupdysplasie kunnen manken. In het verloop van de ziekte kan naderhand een spieratrofie ontstaan. Ook crepitatie in het gewricht kan worden gehoord of gevoeld. Naargelang de ernst van de dysplasie kan een luxatie van het heupgewricht ontstaan
Medicijnen en behandelingen:
Er bestaat geen medicijn waarmee heupdysplasie te genezen is. Wel zijn er behandelingen (conservatieve en/of chirurgische behandeling) en medicijnen waarmee verergering wordt voorkomen of pijnklachten worden verminderd. De conservatieve behandeling (= niet operatief) is bruikbaar bij honden met milde symptomen of bij honden die voor het eerst symptomen van kreupelheid vertonen. De behandeling kan bestaan uit aangepaste beweging (rust of juist training), aangepaste voeding en eventueel ontstekingsremmers. Het doel van een chirurgische behandeling kan de vermindering van pijn zijn, de terugkeer naar een zo normaal mogelijk gebruik van het aangetaste gewrichten het voorkomen van artrose en verdere spieratrofie. Er zijn meerdere operatietechnieken mogelijk.
Enkele van deze operatietechnieken zijn:
1. Het kantelen van de heupkom over de heupkop. De heupkom wordt op meerdere plaatsen doorgezaagd, gekanteld totdat de heupkop goed in de heupkom past, en weer vastgezet met metalen schroeven. Hierdoor ontstaat er een betere aansluiting. Deze operatie wordt uitgevoerd bij jonge honden (ouder dan 8 maanden) met losse heupen zonder vormverandering.
2. Het weghalen van een spier in de lies. Hiermee wordt bij veranderde heupgewrichten voorkomen dat de kop in de kom wordt getrokken. Deze operatie wordt uitgevoerd bij honden waarbij deze spier is aangespannen en die misvormde heupen hebben.
3. Het weghalen van de heupkop. Dit gebeurt meestal niet bij grote honden omdat herstel niet zo goed is als bij kleine, lichtere honden.
4. Het plaatsen van een kunstheup. Dit gebeurt veelal bij honden met zeer pijnlijke heupgewrichten die ernstig misvormd zijn. Of een operatie dan wel een conservatieve behandeling voor een hond het beste is, moet beoordeeld worden door een ervaren of gespecialiseerde orthopedische dierenarts.
5. Denervatie van de gewrichtskapsel.